導讀
一個11 歲男孩到急診科就診,主訴這兩天出現局灶性、痙攣性臍周疼痛,伴有厭食、發熱和1 次嘔吐。他表示沒有腹瀉、咳嗽和睾丸疼痛的症狀,但飲食減少、排尿減少,輕度恥骨上疼痛,以及3 天沒有排便。
體檢發現,孩子沒有發熱,腹部柔軟且無膨脹,但有瀰漫性下腹部壓痛、反跳痛和Rovsing 徵陽性(觸診左下腹會引起右下腹痛)。
但後續的腹部超聲檢查,未發現積液或膿腫,也沒發現闌尾炎跡象,胸部X 光片也不提示急性肺炎,由於擔心早期/可能的盲腸後闌尾炎,患者辦理了入院觀察。
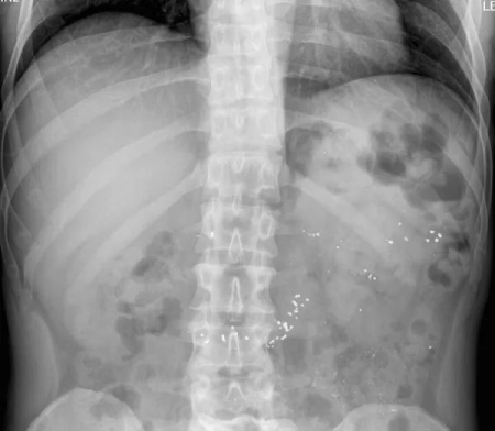
第二天,進行腹部X 光檢查以評估便秘情況,結果顯示結腸有均勻分佈的不透明斑點,直腸乙狀結腸區有適量大便和無梗阻性腸內氣體分佈,這種現象提示結腸有特別的物質,孩子的腹痛可能就跟它有關。
你猜猜,這個特殊物質是啥。鉛?汞(水銀)?異物?哈哈,我們繼續往下看。
Table of Contents
結腸X 光不透明斑點要考慮哪些可能?
拿到這個X 光片,根據影像學特點,醫生的鑑別診斷方向從攝入不透射線的物質到慢性炎症都有,最常見的有鉛、汞、抗酸劑、鉍藥物等。
1. 鉛中毒
當觀察到腸道中有這種斑點時,重金屬(如鉛)攝入是很重要的考慮方向。
鉛離我們其實並不遙遠,鉛攝入可能來自許多家庭物品,包括油漆、釣魚墜、珠寶首飾、草藥和民間藥物。根據攝入的來源,腹部X 光片可能可以看到不透射線的鉛點,也可能看不到。
下面這個圖相對比較典型,是一個2 歲鉛中毒男孩的X 光片,顯示腹部和盆骨有大量鉛塗料碎片。
(圖片來源:https://www.consultant360.com/articles/lead-toxicity-young-boy)
鉛在胃和腸中的吸收相對於滯留時間而的延長而增加,因此為了最大程度保護孩子健康,必須儘早發現這種重金屬攝入。
鉛中毒可以通過靜脈血鉛水平升高來診斷,美國CDC 當前指定的參考水平為3.5μg/dL (0.14μmol/L),此外,鉛中毒的孩子還可能出現中樞神經系統、周圍神經系統等的症狀。
2. 汞中毒
汞是另一種容易被兒童攝入的物質,由於這種金屬在體溫下呈液態,因此,X 光片上的影像會顯得更加無定形。
(圖片來源: https://litfl.com/top-10-foreign-bodies/)
幸運的是,元素汞(如水銀體溫計裡的水銀)主要通過肺部吸收,胃腸道或皮膚吸收甚微,健康患者不太可能被胃腸道吸收。
但患有憩室病和其他疾病狀態的患者有一個例外,他們攝入的汞會在腸道中停留更長時間,導致可能繼發於細菌代謝為有機汞的全身吸收。相反,攝入的有機汞化合物(含有碳- 汞鍵的一類金屬有機化合物)可能很容易被吸收。確診汞中毒的方法是檢測血和/或24 小時尿中的汞含量。
3. 鐵中毒
在兒科人群中,另一個很常見的問題是攝入過量的鐵補充劑。
胃部存在不透光的鐵劑藥片可以證實鐵攝入,如下圖所示。但鐵片劑是否透光取決於劑型和元素鐵含量,許多液態鐵劑和含鐵咀嚼維生素(鐵濃度較低)不能顯影。因此,存在少許或不存在鐵片劑顯影時,不一定表明攝入量很少。
(圖片來源: https://litfl.com/top-10-foreign-bodies/)
4. 結腸憩室鈣化
結腸憩室是指結腸黏膜經腸壁肌層缺損處向外形成囊狀突出的病理結構,這些小鼓包中的一個或多個發炎或感染時,被稱為憩室炎。而結腸憩室鈣化,在X 光下也會顯示類似的影像學表現。
儘管這種疾病在兒科人群中很少見,但有一些文獻報導了繼發於先天性巨結腸、結締組織病、囊性纖維化、慢性腎功能衰竭和其他遺傳綜合徵的小兒結腸憩室病。
真相大白,原來是鉍劑搞的鬼
考慮到前面這些問題的可能性,醫生同步做了血常規檢查、血生化檢查以及尿液分析。相應的結果如下,很顯然,各項數值基本是正常的,結合孩子的各項情況,基本把前面幾種推測排除了。
(12 歲以下兒童血常規和血生化正常值和檢測值對比)
那問題是啥呢?醫生只好找孩子父母追問更多病史,一問才知道,在入院的前2 天,孩子吃了次水楊酸鉍咀嚼片,也就是下面這款Pepto-Bismol。
這個藥物大家可能聽說得不多,其實在根除幽門螺桿菌的藥物中有鉍劑,鉍鹽與硫化氫反應生成硫化鉍,會使大便發黑,這個可能一部分人知道。但其實,它還有個很有意思的特點,和很多藥物不同,鉍劑是不透X 射線的。
Gastrointestinal Endoscopy 雜誌曾報導過一個案例。一名22 歲男性腹痛患者,CT 掃描顯示胃底有一個不透射線的18mm 圓盤狀物體,類似鈕扣電池。但患者完全記不得自己意外吃過這種東西,而且後續的上消化道內鏡檢查和腹部X 光均未發現殘留異物,真是奇了怪了。
後經過反复詢問,患者才提到就診前吃過Pepto-Bismol 片劑治療胃部不適,那個類似鈕扣電池的東西,就是還沒溶解的次水楊酸鉍片。類似這樣的情況在一些含金屬化合物中多見,比如含鋇、鉛、砷、釷和碘的藥物,所以,臨床問診的時候,遇到類似情況,醫生要主動詢問患者的用藥情況。
這個孩子是什麼問題?
孩子結腸X 光顯示斑點的問題得到了解釋,基本排除了重金屬中毒以及嚴重腸道疾病的可能,他最終診斷為便秘。
於是,醫生開具了輕瀉藥聚乙二醇3350,連續服用7 天后出院回家,孩子的便秘得到了解決,腹痛消失。至於攝入鉍劑,本身是不需要特殊治療的,所以後續也沒有繼續進行放射檢查。
最後,需要提醒的是,水楊酸鉍劑常用於腹瀉、腹痛、消化不良、噁心、餐後飽脹的治療,但過量可能造成急性水楊酸鹽中毒和嚴重酸中毒,長期使用會在體內慢性儲存積累,大家切記在醫生的指導下使用。
