導讀
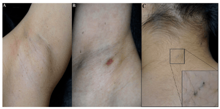
一個7 歲女童,因腋窩和頸部出現無症狀的「散佈性黑點」1 年而就診。
她沒有旅行、剃須或習慣性摩擦的歷史,她的父母經常擁抱她並共用毛巾。體格檢查顯示腋下、頸部多發的、輕微隆起的黑色皮疹。
皮膚鏡檢查顯示在表層和深層皮膚內有一條黑色線,兩端刺穿皮膚,類似手術縫線。
組織病理學顯示一個沒有毛囊的穿透性毛幹,最終診斷為皮膚毛髮移行疹(cutaneous pili migrans,CPM)。
看到這個專業名詞,你可能還有點懵,別急,我們繼續往下看。
什麼是皮膚毛髮移行疹?
皮膚毛髮移行疹指的是毛髮在皮膚內移行所致的匐形疹樣損害(自己的或者外來的毛髮),自從1957 年首次報導以來,全球也才報導了三十多例,對於這個不太常見的皮膚病,它的名字卻非常多,比如移行性毛髮、挖掘性毛髮、爬行毛髮、內生毛髮以及遷移性毛髮等。
且已經報導了多個位置,包括腳踝、腳底、腳趾、乳房、臉頰、頸部、下巴和腹部,好發年齡從6 個月至58 歲不等,病程2 天至數年不等。
為什麼毛髮會跑到皮膚裡面呢?
目前關於它的成因機制還太清楚,但總體來看,這很可能是一種獲得性疾病,因為,絕大多數病例中都沒有報告毛囊,只注意到毛乾或碎片,因此被認為是毛髮尖銳端在外力作用下穿透表皮後移行,尤其是皮膚遇水浸泡軟化、外傷、皮膚屏障破壞更有助於毛幹刺入皮膚。風險因素包括剃須、習慣性拉扯和赤腳行走。
另外,大多數病例報告來自東亞國家。這是因為,與所有其他民族相比,亞洲人的頭髮具有較高的抗拉強度和最大的橫截面積,更容易嵌入皮膚。
為什麼這個女孩會得什麼是皮膚毛髮移行疹?
知道了皮膚毛髮移行疹的成因,那文章開頭這個案例中的孩子,腋窩和頸部散佈的「黑點」是怎麼來的呢?
醫生在不做切口的情況下,給病變的地方塗抹局部麻醉藥膏後,輕輕按住一端,同時用鑷子將可見的黑色毛幹從另一開口拉出,整個操作前後均未發生出血。
從腋窩、前頸和後頸分別取出的異物,經光學顯微鏡和掃描電子顯微鏡觀察發現都是毛幹。最長和最短的毛幹分別為3 毫米和0.3 毫米。厚度範圍為200 至230 µm。
醫生們同時收集了患者及其父母的頭髮樣本,包括她父親的小鬍子,並測量了它們的厚度:91.29–97.21 μm (父親的毛幹)、132.6–168.7 μm (父親的小鬍子)、90.19–92.99 μm (母親的髮乾)和82.90 μm (患者的髮乾)。
根據患者家屬的毛髮厚度,父親的小鬍子是最有可能的來源,而頻繁擁抱和共用毛巾可能是導致這一罕見問題的原因。要知道,男性頭髮濃密、硬挺、筆直的特性會增加其毛髮的穿透性,而且,兒童皮膚摩擦部位的表皮更薄,這些因素都可能造成這個孩子更容易出現皮膚毛髮移行疹。
所以,醫生建議家庭成員避免共用毛巾,並避免孩子與父親的鬍子密切接觸,隨後,6 個月隨訪時觀察到孩子的症狀已經完全緩解且無復發。
需要與哪些疾病鑑別?
當懷疑皮膚毛髮移行疹時,皮膚鏡檢查和活檢是最有價值的診斷工具,在淺表皮膚層內移動的暗線是經典皮膚毛髮移行疹的特徵性皮膚鏡檢查結果。
但也有必要和下面兩個疾病進行區分:
一個是指間藏毛竇,是由短髮碎片的反复穿透所致,是一種罕見的職業病,通常發生在美髮師或理髮師這個人群,該病於1942 年由Templeton 首次描述,組織學上定義為異物肉芽腫。
一個是皮膚幼蟲移行症(cutaneous larva migrans,CLM),指的是一種由遊走性紅色線性軌跡或匐行性皮膚軌跡組成的臨床綜合徵,又被稱為匐行疹。
皮膚幼蟲移行症最常見的原因是人體感染了狗或貓鉤蟲的幼蟲,這類鉤蟲包括巴西鉤口線或犬鉤口線蟲;也可由其他動物寄生蟲(並非自然的人類寄生蟲)的幼蟲引起。
皮膚毛髮移行疹與匐形疹不同,毛髮移行疹是向一個方向線性移動,且無明顯自覺症狀,而匐形疹是向多個方向蜿蜒曲折的遷移,並伴有瘙癢。
治療上也差別很大,皮膚毛髮移行疹的治療一般取出毛髮即可痊癒;而匐形疹則可能要進行驅蟲治療,治療有助於緩解症狀和減少繼發性細菌感染的可能性。
哈哈,又學習了一個新知識。
